De Jack Russel "Pico" die het record "spijker" poepen bijna had gewonnen...

De Jack Russel reu "Pico", 7 jaar oud, van de familie Tress uit Duitsland kwam op consult in Echt omdat hij verkrampt liep en niet wilde gaan zitten.
Verder was de eigenaar de laatste tijd niets opgevallen. Hij had duidelijk pijn aan zijn achterwerk bij het lichamelijk onderzoek. Er werd besloten om een röntgenfoto te maken en daarop was een stopnaald zichtbaar!

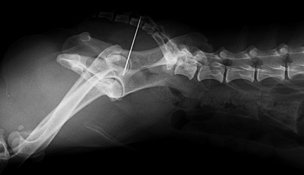
Hier links ziet u de naald ter hoogte van het midden van zijn bekken.
Op de 2e röntgenfoto, die genomen is vanuit zijigging, zien we dat het een flinke naald is die een eind omhoog steekt richting de staart. U gelooft het misschien niet, maar aan de buitenkant van Pico was niets te zien...

Pico kreeg een infuus en werd onder narcose gebracht om vanuit de anus te kunnen voelen naar de naald. Toen bleek de naald in het rectum, laatste deel van de darm voor de anus, te zitten en deze naald stak door de darmwand heen omhoog. De naald is heel voorzichting verwijderd zodat er niet meer schade aan de darm zou ontstaan. Dit is een spannende plek omdat je de darm daar ter plaatse niet kunt hechten. Het verwijderen was goed verlopen en Pico kreeg pijnstilling en antibiotica om infectie ter plaatse door darmbacteriën te voorkomen.
Links ziet u hoe groot de verwijderde naald was...Pico heeft eigelijk ontzettend veel geluk gehad tot op het laatst. Hij moet deze naald opgegeten hebben waarbij de naald een complete route door slokdarm, maag en darmen heeft afgelegd zonder ergens door de wand te prikken! Het was bijna goed gegaan, Pico had hem bijna uitgepoept, totdat de naald toch teveel in een verticale positie is gekomen en door de darmwand is gestoken.
Pico was snel weer wakker en is een nachtje in de opname gebleven.
De volgende ochtend was hij actief en had geplast, maar nog geen ontlasting gemaakt. Hij mocht diezelfde dag naar huis en is 2 dagen later nog eens op controle geweest. Alles was in orde, de darm voelde normaal aan en hij poepte goed! Inmiddels gaat het nog steeds hartstikke goed met Pico.