De Oud Duitse Herder pup Buddy met groeipijn??
Buddy, een Oud Duitse Herder reu van 7 maanden oud kwam bij ons op consult omdat hij al 3 weken mank liep met zijn linker voorpoot. Zijn baasjes waren bij hun eigen dierenarts geweest en deze had groeipijn geconstateerd. Zij wilden echter meer onderzoek en duidelijkheid over de oorzaak van het mank lopen, aangezien het niet verbeterde.
Ze kwamen op consult bij dokter Wilbert Winkelmolen en tijdens het onderzoek bleek dat Buddy drukpijnlijk was op al zijn pijnbeenderen. Dat duidt inderdaad op groeipijn. Daarnaast reageerde Buddy ook pijnlijk bij het bewegen van zijn linker schouder. Er werd besloten om meteen röntgenfoto's te maken van al zijn gewrichtend onder narcose.
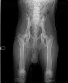
Zijn heupen bleken keurig in orde. (foto rechts) Zijn ellebogen waren ook in orde maar er was duidelijk sprake van groeipijn. Dit is zichtbaar bij de rode pijlen als een "wolking" in het
bot.
Zijn rechter schouder was keurig, maar ter hoogte van zijn linker schouder was er een afwijkende rand aan de onderkant van het schouderblad zichtbaar. Dit duidt op osteochondrose: een erfelijke kraakbeenziekte, die voorkomt bij honden tussen de 4 en 10 maanden leeftijd. Hierbij wordt het kraakbeen te dik, waardoor stukjes kraakbeen kunnen afsterven en los kunnen raken in het gewricht. Dit kan de nodige pijn en irritatie in een gewricht veroorzaken, waardoor een dier continue mank gaat lopen.


Het rechter schoudergewricht is keurig, links lijkt er wel een klein hapje uit de onderkant van het schouderblad te zijn genomen, bij de groene pijl. Dat is osteochondrose, met de verdenking op een los stukje bot in het gewricht.
Er werd besloten, gezien de jonge leeftijd en de aawezige groeipijn om het eerst nog met 4 weken rust en aangepaste voeding te proberen. Een puppyvoeding die minder calcium en fosfaat bevat, zodat de botten niet overmatig worden gestimuleerd om te groeien.
Een kleine 3 weken later komt Buddy alweer op controle, het gaat helemaal niet beter. Op dat moment is er in overleg met zijn baasjes besloten om niet langer te wachten en een kijkoperatie in het gewricht te plannen (artroscopie).
Een paar dagen later kwam Buddy nuchter naar de kliniek. Hij werd onder narcose gebracht en ter hoogte van zijn linker schouder werd hij geschoren en gewassen. Dokter Winkelmolen maakt 2 kleine sneetjes in de huid en gaat met buisjes naar binnen. Door deze buisjes kan een cameraatje en een instrumentje om een eventueel los stukje bot uit het gewricht te halen.
De operatie verliep heel voorspoedig, Dokter Winkelmolen kon het schoudergewricht van Buddy goed bekijken en het irriterende losse stukje bot verwijderen.

Links ziet u hoe klein de wondjes zijn na de operatie(bij de zwarte pijlen). Er hoeft niet eens een hechting op omdat ze worden gelijmd. Rechts ziet u Buddy nog in dromenland voordat hij weer wakker wordt.
Een kijkoperatie in een gewricht heeft veel voordelen ten opzichte van een gewone operatie en is met name geschikt voor de schouders en de ellebogen van de hond. Lees meer over de voordelen van artroscopie
Buddy mocht diezelfde dag weer naar huis en was snel weer erg fit. Hij moest nog wel veel rusten in de bench (wat niet makkelijk is met zo'n jonge Herder). Een week later kwam hij op controle en ging het al erg goed. De schouder was mooi dun, dokter Winkelmolen kon de schouder goed bewegen en Buddy liep al weer erg goed. Zijn baasjes mochten de beweging langzaam weer gaan opbouwen, tot grote vreugde van Buddy!
Zijn baasjes stuurden ons onderstaand filmpje, 10 dagen na de operatie: